1801 Avenue M, Brooklyn, NY 11230 (718) 252-8989

[[SIDEBAR_LABEL]]:
(718) 252-8989

Michael Korngold, DDS | Crowns  amp  Caps, Veneers and Dentures

Dentistry Before and After Photos

Scroll over image to see before and after.

Michael Korngold, DDS | Pediatric Dentistry, Veneers and Teeth Whitening

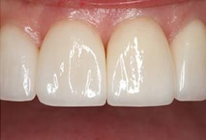
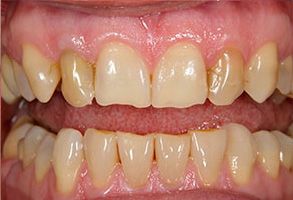
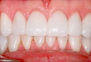
Before

Michael Korngold, DDS | Invisalign reg , View All Services and Dental Bridges

After

Michael Korngold, DDS | Dental Fillings, Extractions and Root Canals

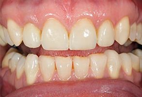
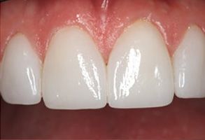
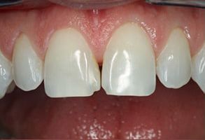
Before

Michael Korngold, DDS | Dentures, Periodontal Treatment and Preventive Program

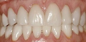
After

Michael Korngold, DDS | Teeth Whitening, Pediatric Dentistry and Dentures

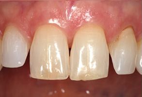
Before

Michael Korngold, DDS | Dentures, Teeth Whitening and Crowns  amp  Caps

After

Michael Korngold, DDS | Preventive Program, Crowns  amp  Caps and Oral Exams

Before

Michael Korngold, DDS | Crowns  amp  Caps, Dentures and Veneers

After

Michael Korngold, DDS | Teeth Whitening, Invisalign reg  and View All Services

Before

Michael Korngold, DDS | Dental Bridges, Oral Exams and Invisalign reg

After

Michael Korngold, DDS | View All Services, Teeth Whitening and Periodontal Treatment

Before

Michael Korngold, DDS | Night Guards, View All Services and Oral Exams

After

Michael Korngold, DDS | Night Guards, Dentures and Pediatric Dentistry

Before

Michael Korngold, DDS | View All Services, Root Canals and Dental Fillings

After

Contact Us

We would be happy to answer any questions you have. Just fill out the contact form below and we'll get back to you as soon as possible.

Submit

Thank You!

We appreciate you taking the time to visit our site. We'll review your message and be in touch with you soon.

Continue

Call Us

[[SIDEBAR_LABEL]]:
(718) 252-8989

Visit Us

1801 Avenue M
Brooklyn, NY 11230

Contact Us

Submit

Thank You!

We appreciate you taking the time to visit our site. We'll review your message and be in touch with you soon.

Continue